Podczas ceremonii moja macocha uśmiechnęła się i powiedziała wszystkim, że ojciec mnie odrzucił, bo nie należę do jego prawdziwej rodziny.…
Podczas ceremonii moja macocha uśmiechnęła się i powiedziała wszystkim, że ojciec mnie odrzucił, bo nie należę do jego prawdziwej rodziny.…
Następnego dnia w klasie panowała duszna atmosfera. Dariusz wszedł, nie patrząc na nikogo. Całą noc powtarzał sobie, że to już…
Elena bez pośpiechu zeszła z ostatniego stopnia. Każdy krok odbijał się echem w tej ciężkiej ciszy, w której nikt nie…
Hotel Grand Aurora w centrum Minneapolis lśnił tego wieczoru niczym królewski pałac. Kryształowe żyrandole skąpały marmurowe podłogi w złotym świetle.…
Utrata równowagi, strach przed potknięciem, brak pewności siebie… Te drobne sygnały ostrzegawcze czasami rozwijają się stopniowo z biegiem lat. Często…
Wyobraź sobie rzekę płynącą swobodnie, nawadniającą każdą część Twojego ciała. Teraz wyobraź sobie tę rzekę zatkaną zanieczyszczeniami, która zwalnia swój…
⚠️ Na miesiąc przed udarem Twój organizm ostrzega: nigdy nie ignoruj tych objawów. Udar mózgu nie następuje z dnia na…
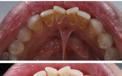
Kamień nazębny, zwany również kamieniem nazębnym, to stwardniała forma płytki nazębnej, która może tworzyć się na zębach i pod dziąsłami.…
Czy wiesz, że Twój organizm spala kalorie podczas snu? I to jest całkowicie normalne, ponieważ Twój organizm nieustannie funkcjonuje. To…